52岁的李女士,5年来发生三次脑梗塞,导致右侧肢体偏瘫,生活不能自理,心脏食道超声证实了她有个卵圆孔未闭,通俗地形容就是心脏的左右心房之间有个“洞”。
安康市中心医院心内科沈桂冬主任解释说,卵圆孔未闭意味着左右心室之间存在一条异常血流通道,也就更容易形成血栓。比如咳嗽、用力屏气时,右心房的压力突然增高,血栓就会随之“乱跑”,从右心房沿着血流进入左心房,随后来到左心室,再流向脑部,阻塞脑部血管,最终导致脑梗。

那么,这个心脏上的“洞”该怎么“补”呢?

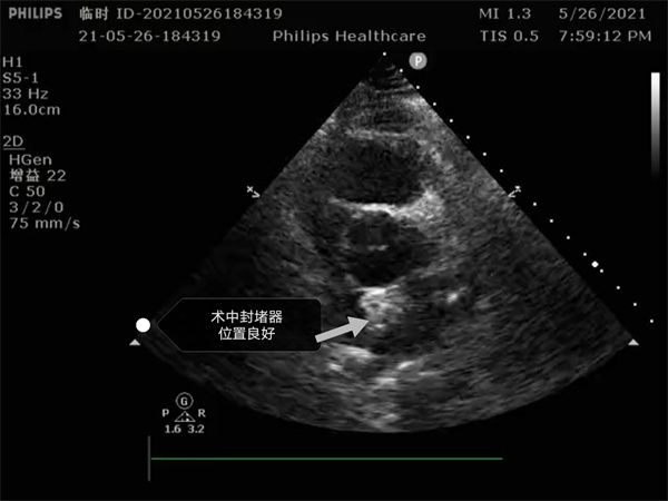
尤其是患者是个三房心,正常的人是有二个心房,这是一种少见的先天性心脏畸形, 如何在三房心把这个洞堵住,而且不影响心脏正常结构,是这个手术难点。沈主任组织全科进行术前讨论,5月26日下午5点开始手术,导丝如何在不规则的只有米粒大小的卵圆孔里通过,鞘管如何通过,如何进入卵圆孔连接的副房,避免封堵器夹住隔膜,这些难点在术中被沈主任团队一一化解,手术历时二小时,随着封堵器成功释放,导管室外响起来热烈的掌声。

就这样三房心合并卵圆孔未闭发生过三次脑梗的患者,在安康市中心医院心内科导管室成功进行了国内第二例介入封堵手术。

当笔者再次见到患者李女士时,她正在医务人员的陪同下在楼道里慢走,她已经很久没有这样轻松地自己走路了。